
Бебе с огледално разположени органи се роди за първи път в Пловдив. Генетичният феномен се нарича situs inversus. При него вътрешните органи в областта на гръдния кош и корема са разположение от другата страна на мястото, където трябва да бъдат.
Вроденото състояние се среща при един на десет хиляди човека. Известни носители на аномалията са певецът Енрике Иглесиас и актриасата Катрин О’Хара.
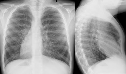
Транспозицията на органите е открита от неонатолози при рутинния преглед непосредствено след раждането на момиченцето. „Бях изненадана да чуя, че сърдечните тонове се улавят по-добре в дясно. При направената рентгенова снимка се установи разположение на органите обратно на това, което трябва да бъде“, каза д-р Зорница Василева.
Огледалното разположение на органите би трябвало да бъде видяно при качествено направена фетална морфология на майката. Бременността е следена в друго населено място, майката е избрала само раждане да е в Пловдив, обясни завеждаща отделението по неонатология на специализирана болница д-р Мария Нещерова.
Ситус инверсус обикновено не повлиява качеството на живот. В около 25% от случаите се наблюдава синдром на Картагенер, свързан с хроничен възпалителен процес в белите дробове. Бебето е насочено за последваща консултация с пулмолог.
Въпреки че още Аристотел цитира два случая на огледални органи при животни, феноменът е открит за първи път в Неапол от анатома и хирург Марко Аурелио Северино през 1643 г. Век по-късно шотландският лекар Матю Бейли въвежда официалното наименование situs inversus (от латинското situs – местоположение и inversus – обратно). През 1788 г. на семинар в Хунтерианската медицинска школа откритието, представено от д-р Бейли, буквално шокира лекарите.
Художници и писатели са използвали situs inversus в своите творби, макар и понякога по изкривен начин. Главният герой в романа на Йън Флеминг от 1958 г. от поредицата за Джеймс Бонд „Др. Не“ е спасен от куршум заради своята декстрокардия (аномалия, при която само сърцето е с огледална локация). Твърди се, че в периода 1452 – 1519 г. е бил един от първите, който е изобразил анатомията на огледалните органи.
Коментарите подлежат на модериране.
Правилата за коментиране
